blog
水平埋伏歯の影響による開口case
初診時:前歯を転んでぶつけてしまった。歯並びも気になるとのことで来院。

下からあおった写真だと前歯が咬んでいない。このままだと臼歯部に過度な負担がかかり歯を割ってしまう力がかかる。

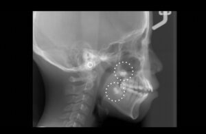
セファロレントゲンで親知らずが存在することが確認できる。親知らずを抜歯したスペースを利用して矯正治療を行いたいが、
初診時は13歳でありすぐに抜歯することができないと判断。

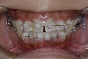
22歳時:親知らずを抜歯することができる位置まで萌出してきたので親知らずを抜歯し、そのスペースを利用する。


親知らずによって持ち上げられていた臼歯部を圧下していく。臼歯部を圧下しつつ、
前歯を咬合させるように顎間ゴムで力を少しずつかけていく。 
少しずつ少しずつ

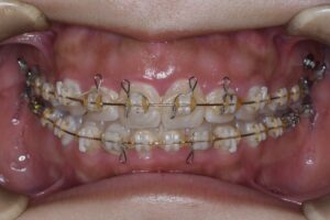
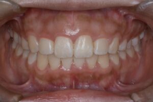
矯正治療終了

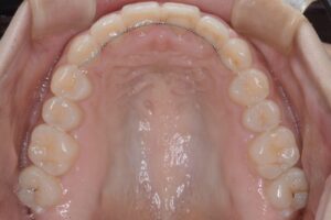
矯正治療終了(上顎)

矯正治療終了(下顎)
小児矯正を専門でおこなう歯科医院が増えている。歯並びを早くから治さないととんでもないことになってしまうと心配になってしまうご家族と、子供のうちから、早くから矯正しておけば大丈夫だと疑いもなく説明する歯科医院側の考えが一致しやすいのだろう。当院では受け口ではない限り早期の矯正治療はなるべく様子を見ながら時期を見て行うようにしている。小さい頃から矯正してしまうと装置を長期でつけることとなり虫歯のリスクを大きくしてしまうだけではなく、親知らずの存在によりせっかく良くなった歯並びも少しずつ変化して、一旦子供の頃に綺麗になった歯並びが大人になって乱れてしまっている方が非常に多いことを経験する。また24歳ぐらいまでは顎の成長や歯の位置は変化することも多くの論文で証明されている。つまり大人になってからも噛み合わせの変化を観察する必要があるにも関わらず小児期のみの矯正治療ではあまりにも無責任ではないのか。自戒を込めて矯正する必要があるかどうか、今だけの状態で判断していないか、今本当にするべきかどうか、様子を見ながらでも遅くはないのではないか、結論を焦らずどうか慎重な決断を歯科医師側も患者さん側も。
〒474-0038 愛知県大府市森岡町1−187
TEL:0562-44-2111
【診療時間】
9:10~13:20(最終受付12:50)/ 14:40~18:10(最終受付17:40)
土曜 9:00~14:00(最終受付13:30)

