すべての投稿
-
歯列矯正/歯周病治療/審美治療
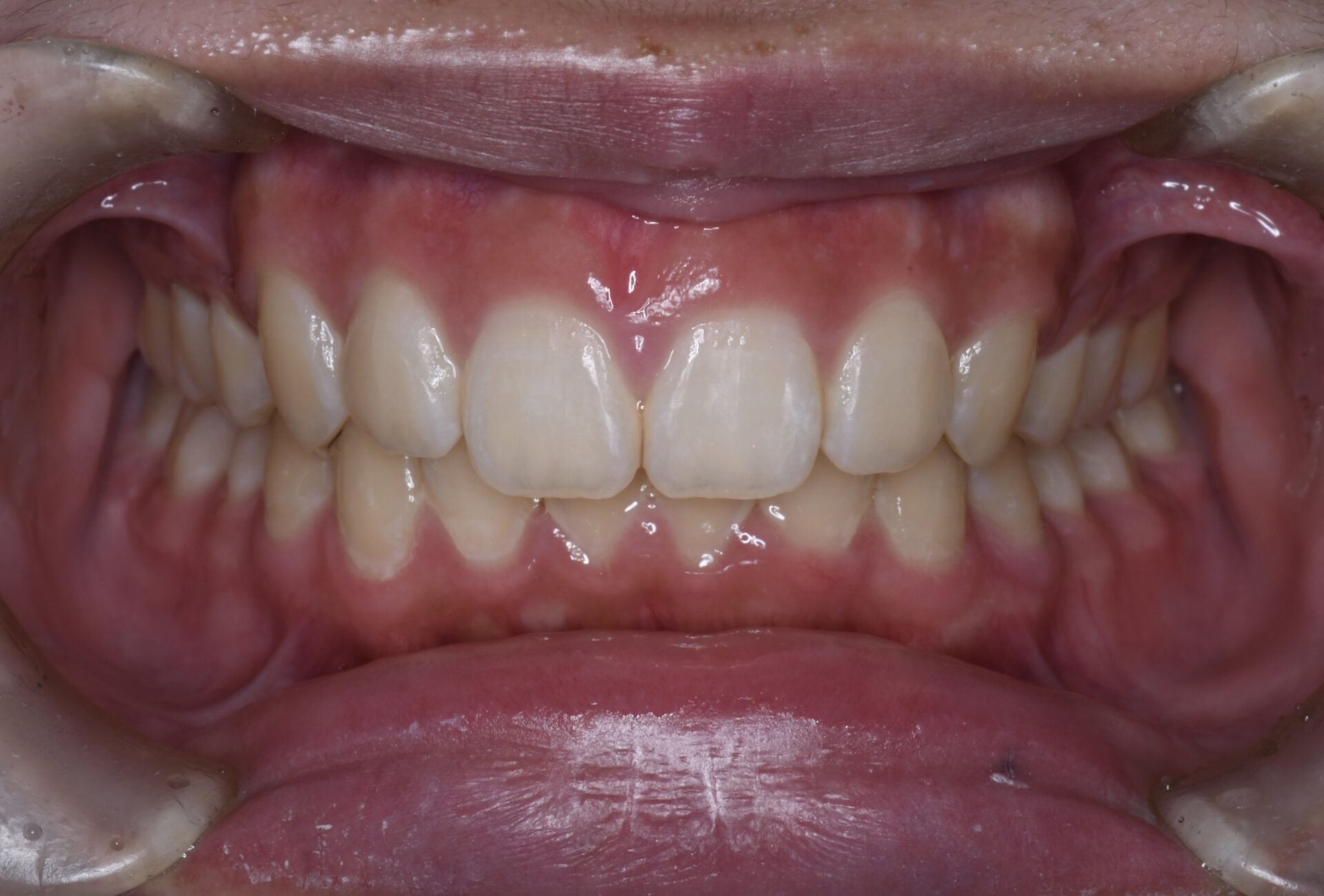
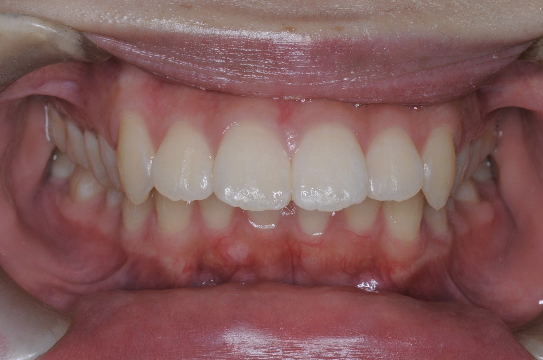
アンキローシスをともなう全顎的矯正cas...
-
before
-
after
主訴 前歯の色が気になる。歯並びを治したい。 治療方法 全顎的矯正治療
ジルコニアによる修復年代 50代 性別 女性 費用 矯正治療費 ¥990.000
ジルコニア冠 ¥165.000
ジルコニアインレー ¥93.500治療期間 矯正治療期間 16ヶ月
来院回数 矯正期間 1回/月 メリット 矯正治療を行うことにより奥歯の負担を和らげ、マイクロクラックを防止できる。 リスク すでに神経の処置がされている歯があるため夜間のマウスピースは必須である。 -
-
歯列矯正/歯周病治療/審美治療
埋伏している過剰歯を利用した矯正case
-
before
-
after
主訴 歯並びを治したい 治療方法 全顎的矯正治療 年代 40代 性別 女性 費用 矯正治療費 ¥990.000
ジルコニア冠 ¥165.000治療期間 32ヶ月 来院回数 1回/月 メリット 奥歯だけで噛んでいたため負担が強く、奥歯の治療を繰り返している。矯正治療により全体で咬合を負担できる。 リスク すでに神経のない歯もあり、夜間のナイトガードは必須。埋伏している右下の過剰歯を利用するため矯正期間は長期となる。 -
-
歯列矯正/審美治療/インプラント
見た目以上に大事なこと
-
before
-
after
主訴 歯並びを治したい 治療方法 全顎的矯正治療
ジルコニア修復
インプラント年代 40代 性別 女性 費用 矯正治療 ¥990.000
インプラント ¥495.000
ジルコニアクラウン ¥165.000
ラミネートベニア ¥154.000治療期間 矯正期間 7ヶ月 来院回数 矯正期間 1回/月
メリット 矯正治療により臼歯の過度な負担を軽減できる。 リスク すでに神経のない歯が多く、夜間のマウスピースの装着は必須である。 -
-
歯列矯正
下顎第2小臼歯の先天欠如により大臼歯の近...
-
before
-
after
主訴 歯並びを治したい 治療方法 全顎的矯正治療 年代 20代 性別 女性 費用 矯正治療費 ¥990.000
ジルコニアインレー ¥93.500治療期間 矯正期間26ヶ月 来院回数 1回/月 メリット 矯正治療により前歯を噛ませることにより咬合が安定し、臼歯部への過度な負担を防ぐことができる リスク 下顎智歯が下顎の中を走る下歯槽管神経に接しているため容易に抜歯することができない。 -
-
歯列矯正
非抜歯でミニインプラントを用いて臼歯の遠...
-
before
-
after
主訴 歯並びを治したい 治療方法 全顎的矯正治療 年代 20代 性別 女性 費用 矯正治療費 ¥990,000 治療期間 矯正期間 14ヶ月 来院回数 1回/月 メリット 矯正治療により見た目が良くなるのはもちろん、奥歯への過度な負担を軽減できるため、マイクロクラックからの虫歯予防になる。 リスク 矯正治療期間中は磨きにくいため虫歯のリスクが高まる。 -
-
歯列矯正
親知らず抜歯後、矯正治療により顎位を改善...
-
before
-
after
主訴 歯並びを治したい 治療方法 全顎的矯正治療 年代 10代 性別 男性 費用 矯正治療費 ¥990.000 治療期間 17ヶ月 来院回数 1回/月 メリット 矯正治療を行うことにより顎位が改善され気道の狭窄を改善できる。 リスク 矯正治療中は虫歯のリスクが増える。 -
-
歯列矯正
歯と骨の癒着(アンキローシス)を伴う矯正...
-
before
-
after
主訴 歯並びを治したい 治療方法 全顎的矯正治療 年代 10代 性別 男性 費用 矯正治療費 ¥990.000 治療期間 矯正期間 23ヶ月 来院回数 1回/月 メリット 矯正治療により歯並びが良くなり、合わせて骨格の歪みも改善される。 リスク 矯正期間中は虫歯のリスクが高くなる。 -
-
歯列矯正/審美治療
臼歯部への咬合負担を全顎的矯正治療で軽減...
-
before
-
after
主訴 歯並びを治したい。金属をなくしたい。長く良い状態を保てる噛み合わせにしたい。 治療方法 全顎的矯正治療
金属のやりかえ年代 40代 性別 女性 費用 矯正治療費 ¥990.000
ジルコニア冠 ¥165.000
ジルコニアインレー ¥93.500治療期間 矯正治療期間 13ヶ月 来院回数 1回/月 メリット 矯正治療により奥歯への咬合負担を軽減できる。 リスク 矯正期間中は虫歯、歯周病のリスクが高くなる。 -
-
歯列矯正
前歯の強い重なりに対して非抜歯で対応した...
-
before
-
after
主訴 歯並びを治したい 治療方法 全顎的矯正治療 年代 20代 性別 男性 費用 矯正治療費 ¥990.000 治療期間 11ヶ月 来院回数 1回/月 メリット 矯正治療を行うと見ためが良くなるだけでなく、磨きやすくなり虫歯や歯周病のリスクが減る。 リスク 口腔内に見えていない親知らずを抜歯する必要がある。 -
-
歯列矯正/歯周病治療
抜歯を必要とする全顎矯正治療後の歯肉退縮...
-
before
-
after
主訴 歯並びを治したい 治療方法 全顎的矯正治療
歯肉移植年代 30代 性別 女性 費用 矯正治療費 ¥990.000
歯肉移植 ¥88.000/本治療期間 矯正治療期間14ヶ月
来院回数 1回/月 メリット 矯正治療により見た目だけでなく虫歯や歯周病になりにくくなる。 リスク 歯を並べるスペースが少なく抜歯を伴う矯正治療になってしまうこと。また抜歯後のスペースに歯を動かす距離が大きいため、歯肉退縮を起こす可能性が高いことを説明。 -

