blognews
成長期の開口case

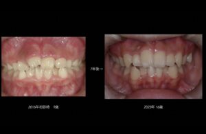
2016年 9歳 前歯が重なって生えてきている。この時点で歯が並ぶスペースが少ないことは十分予想できる。

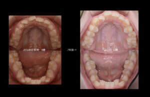
上顎口蓋の幅は小さくない。歯が並ばないからといって小さい時から口蓋を拡大してしまうcaseをよく見かけるが、中顔面の成長に影響を及ぼしてしまう可能性が高く、ある年齢のその時点だけで判断するのは非常にリスクが高いと考える。

2023年 16歳 通常下顎は成長とともに前下方へ伸びていく。丸顔で幼い顔から面長で大人びていく。しかし親知らずが上下左右存在すると、顎の中でその前の臼歯を斜め横から押してしまい噛み合わせを変えてしまう。



下顎臼歯部の圧下をするためのワイヤーをセットするもなかなか前歯は噛んでこない。

上顎第2大臼歯を抜歯してその奥の親知らずを利用。下顎臼歯部は親知らずを抜いたスペースを利用して圧下。

26ヶ月後

26ヶ月
矯正をスタートするタイミングをよく聞かれるがあまりにも早くから(10歳以下から10代前半)スタートしてしまうことに疑問を感じることが多い。元々歯が持っているいい位置に並ぶ能力を少しずつ助けてあげることが矯正治療と考えているが、あまりにも歯科医師が自らの知識やAIによる診断を過信して力ずくで歯を並べているcaseをよく見かける。力ずくであるため時間の経過とともに歯並びは少しずつずれてしまい、元の木阿弥となっている。当院では身長が伸び切った頃を一つの基準としている。長く矯正期間がかかってしまうと虫歯のリスクも上がるだけでなく、16歳前後で奥歯の歯茎の中で静かに悪さをしてくる親知らずにも対応できるからである
〒474-0038 愛知県大府市森岡町1−187
TEL:0562-44-2111
【診療時間】
9:10~13:20(最終受付12:50)/ 14:40~18:10(最終受付17:40)
土曜 9:00~14:00(最終受付13:30)

