歯列矯正
下顎第2小臼歯の先天欠如により大臼歯の近心傾斜が原因の開口case
-
-
before
-
after
-
-
症例情報
主訴 歯並びを治したい 治療方法 全顎的矯正治療 年代 20代 性別 女性 費用 矯正治療費 ¥990.000
ジルコニアインレー ¥93.500治療期間 矯正期間26ヶ月 来院回数 1回/月 メリット 矯正治療により前歯を噛ませることにより咬合が安定し、臼歯部への過度な負担を防ぐことができる リスク 下顎智歯が下顎の中を走る下歯槽管神経に接しているため容易に抜歯することができない。 -
治療詳細

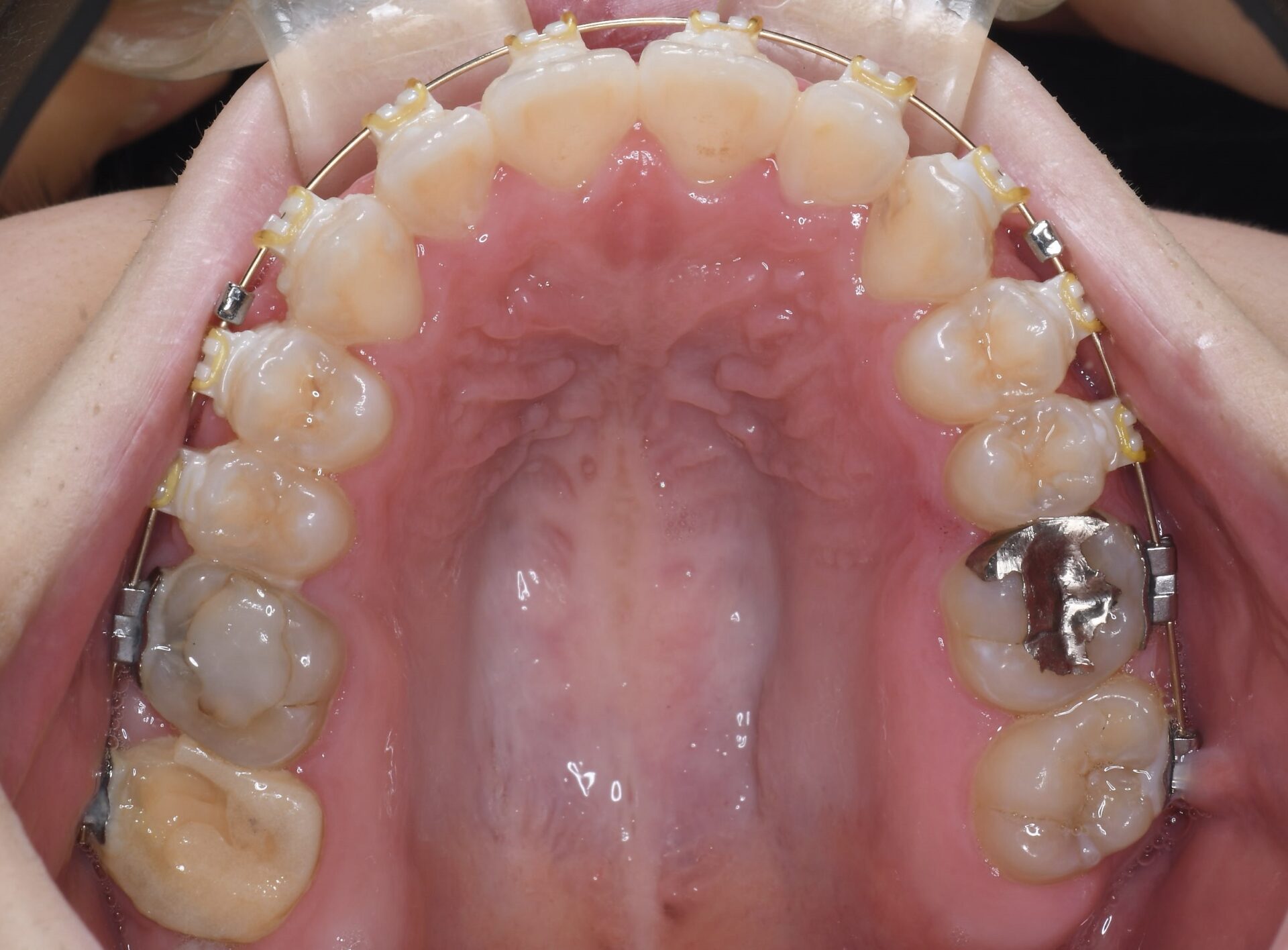
矯正治療スタート時(上顎)
臼歯でしか噛んでいないため20代前半にもかかわらず、すでに右上第1、第2大臼歯は神経の処置がされていた。
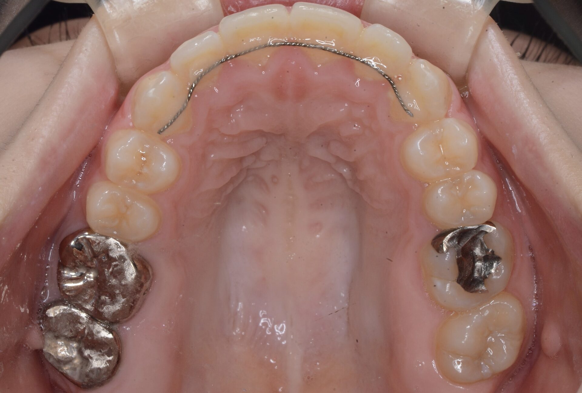
メインテナンス時(上顎)

矯正治療スタート時(下顎) 左右第2小臼歯は先天的に欠損。智歯の根尖は下歯槽菅神経に触れているため歯冠を落とし、智歯の神経の処置をして少しずつ上に移動して下歯槽管神経から離れるのを待つ。

メインテナンス時(下顎)
20代前半で歯の位置はまだ変化すること、先欠部の歯槽骨が未熟であったことからインプラントではなく、大臼歯を利用したジルコニアシングルウイングの詰め物で対応した。
矯正治療スタート時(正面)
臼歯部の傾斜がかなり急である。
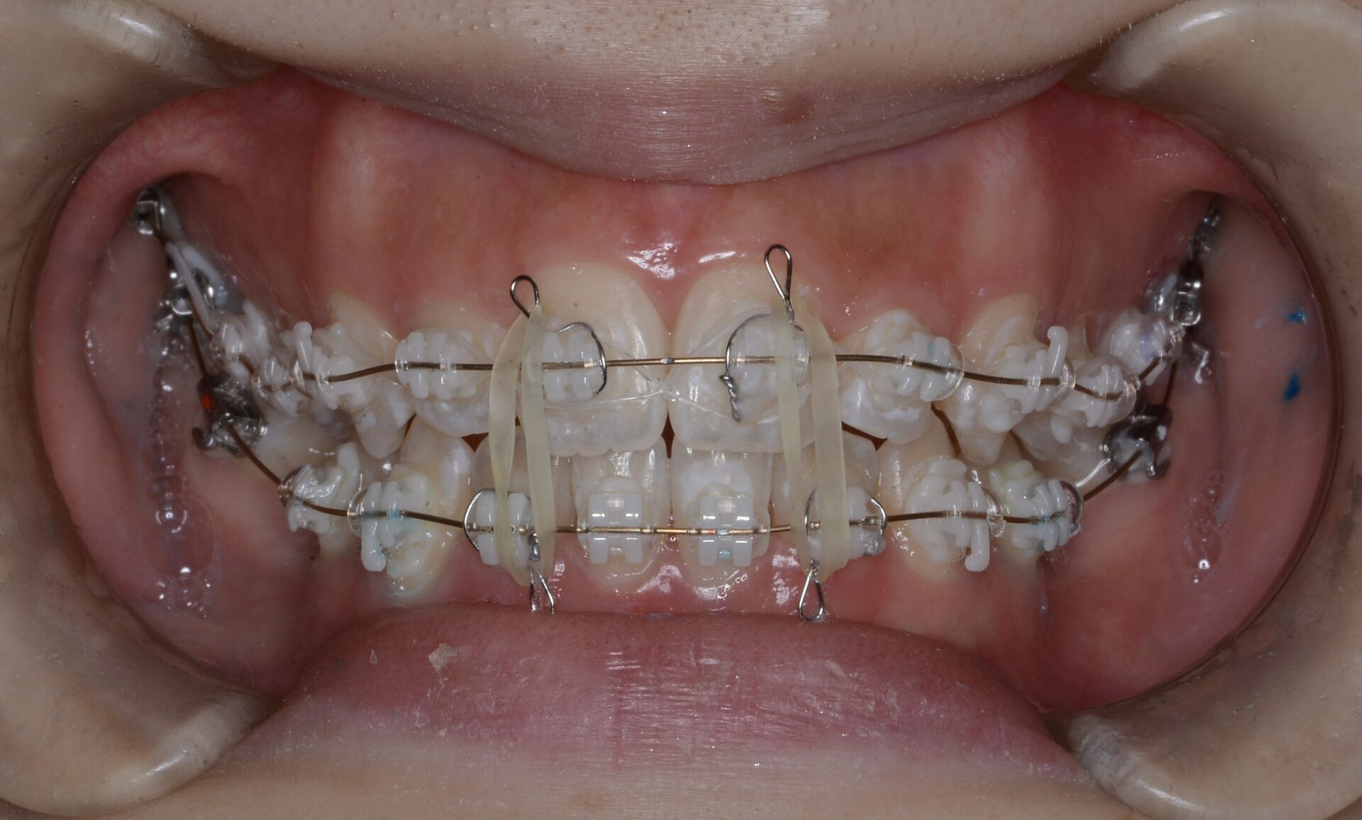
矯正治療中
智歯を抜歯してそのスペースを利用して大臼歯を遠方へ起こしつつ圧下していく。
メインテナンス時
-
当院からのコメント
下顎第2小臼歯が先天的に欠損しており、永久歯に生え替わらないままその奥の大臼歯群が前方に倒れながら萌出。矯正治療で倒れた臼歯を遠方へ起こすには下顎智歯の抜歯が必要だが、下顎の中を走る下歯槽管神経に智歯の根尖が接しているため容易に抜歯することができない。智歯の歯冠を削り上の歯と当たらないようにして少しずつ神経から離れるのを観察しながら抜歯を行い、そのスペースに対して倒れた臼歯を起こしつつ、過度に萌出した分を圧下していく。非常に時間がかかる処置のため、患者さんにも大きな負担となってしまった。20代前半で歯の位置はまだ変化すること、先欠部の歯槽骨が未熟であったことからインプラントではなく、大臼歯を利用したジルコニアシングルウイングの詰め物で対応した矯正治療に関するページはこちら
〒474-0038 愛知県大府市森岡町1−187
TEL:0562-44-2111- 【診療時間】
9:10~13:20(最終受付12:50)/ 14:40~18:20(最終受付17:40)
土曜 9:00~14:00(最終受付13:30)
- 【診療時間】

