インプラント
インプラント15年経過case
-
-
before
-
after
-
-
症例情報
主訴 歯が痛い 治療方法 抜歯後インプラントによる修復 年代 40代 性別 女性 費用 インプラント ¥880.000 治療期間 3ヶ月 来院回数 5回 メリット 他の歯に負担をかけずに咬合させることができる。 リスク インプラント周囲炎のリスクは常に誰にでも起こりうる。 -
治療詳細

2007年
開業して間もない時来院。すでに神経の処置がしてある歯が目立つ。ただ幸いにも上下左右の犬歯はご自身の歯で、処置も最低限で済んでいる。
2008年
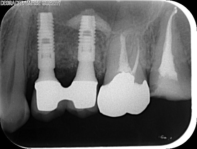
左上ブリッジが破折。左上第一小臼歯の歯根破折。第一大臼歯はなんとか再補綴可能。小臼歯部を2本のインプラントで修復予定。
2010年 骨補填剤による上顎洞底の挙上とインプラント埋入

2018年
メインテナンス時
2025年
メインテナンス時 変わらず安定している。 -
当院からのコメント
開業間もない頃に来院され、あれから19年が経ちました。インプラントを埋入してから15年が経ち、現在もメインテナンスで通院していただいています。開業してからもう何百本もインプラントの手術をしてきましたが、長期予後を見ていると、残念ながらインプラントがだめになってしまった患者さんもみえます。同じように手術をしているのに、駄目になってしまう方と何年も変わらず維持されている方との差は何かと考えます。①まず何よりもその方の持っている免疫力。歯周病菌に対してどれだけ抵抗力があるか。体や骨の強度。②その次にその方のかみ合わせ。ギシギシ歯軋りしたときに犬歯だけで下顎が誘導され、臼歯部が離開して過度な負担がかからない。③そして歯磨きをある程度しっかりしているかどうか。他にも多くの要因はあると思いますが、これら3つが揃っているとインプラントが駄目になる可能性は低くなると考えています。そのため当院では基本的には犬歯の位置がいい方、よくなければ矯正治療により咬合を改善した方で、歯磨きをある程度しっかりと出来る方にインプラントを行うようにしています。歯がなくなってしまった原因を解決せずに歯がなくなってしまったから単純にインプラントをお勧めすることはありません。
矯正治療に関するページはこちら
インプラントに関するページはこちら
〒474-0038 愛知県大府市森岡町1−187
TEL:0562-44-2111- 【診療時間】
9:10~13:20(最終受付12:50)/ 14:40~18:20(最終受付17:40)
土曜 9:00~14:00(最終受付13:30)
- 【診療時間】

