歯列矯正歯周病治療審美治療
埋伏している過剰歯を利用した矯正case
-
-
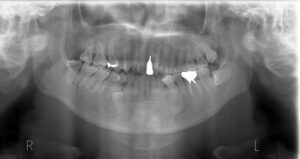
before
-
after
-
-
症例情報
主訴 歯並びを治したい 治療方法 全顎的矯正治療 年代 40代 性別 女性 費用 矯正治療費 ¥990.000
ジルコニア冠 ¥165.000治療期間 32ヶ月 来院回数 1回/月 メリット 奥歯だけで噛んでいたため負担が強く、奥歯の治療を繰り返している。矯正治療により全体で咬合を負担できる。 リスク すでに神経のない歯もあり、夜間のナイトガードは必須。埋伏している右下の過剰歯を利用するため矯正期間は長期となる。 -
治療詳細

右下4番の根尖に過剰歯を認め、矯正治療による歯の動きを邪魔してしまっているとともに4番の根尖を吸収しているように思われたため、抜歯をして過剰歯を利用。

右下4番の根尖に過剰歯を認め、矯正治療による歯の動きを邪魔してしまっているとともに4番の根尖を吸収しているように思われたため、抜歯をして過剰歯を利用。

マイクロスコープの拡大明視野下で矯正用のボタンをセットする。 歯冠の形が歪で周囲の歯槽骨に引っかかってなかなか萌出してこなかったため、少しだけ亜脱臼させたあと矯正力をかける。

根管処置後、歯槽骨の回復を待つ。この時点では歯の動揺はかなりあり、抜けてしまうんではないかと思うぐらい。

矯正治療終了後メインテナンス時。
感染が取れ、過度な咬合力がかからなければ歯槽骨も回復してくる。動揺もなくなる。
メインテナンス時(下顎)
-
当院からのコメント
右下の親知らずを抜歯して、そのスペースに前方に倒れた大臼歯と小臼歯を起こし、できたスペースに犬歯を動かしたいのだが、埋伏している過剰歯が邪魔して犬歯を含め前歯を動かすことができない。埋伏している過剰歯を抜歯することができればもっと早く歯並びを変えることができたが、第1小臼歯を抜歯して、埋伏している過剰歯を利用しなければ矯正治療を行ってもうまく噛むことができない。時間がかかってしまい患者さんも本当に大変だったと思います。ご苦労様でした。矯正治療に関するページはこちら
〒474-0038 愛知県大府市森岡町1−187
TEL:0562-44-2111- 【診療時間】
9:10~13:20(最終受付12:50)/ 14:40~18:20(最終受付17:40)
土曜 9:00~14:00(最終受付13:30)
- 【診療時間】

