歯列矯正
多形腺腫が原因で咬合不全を起こしている全顎的矯正case
-
-
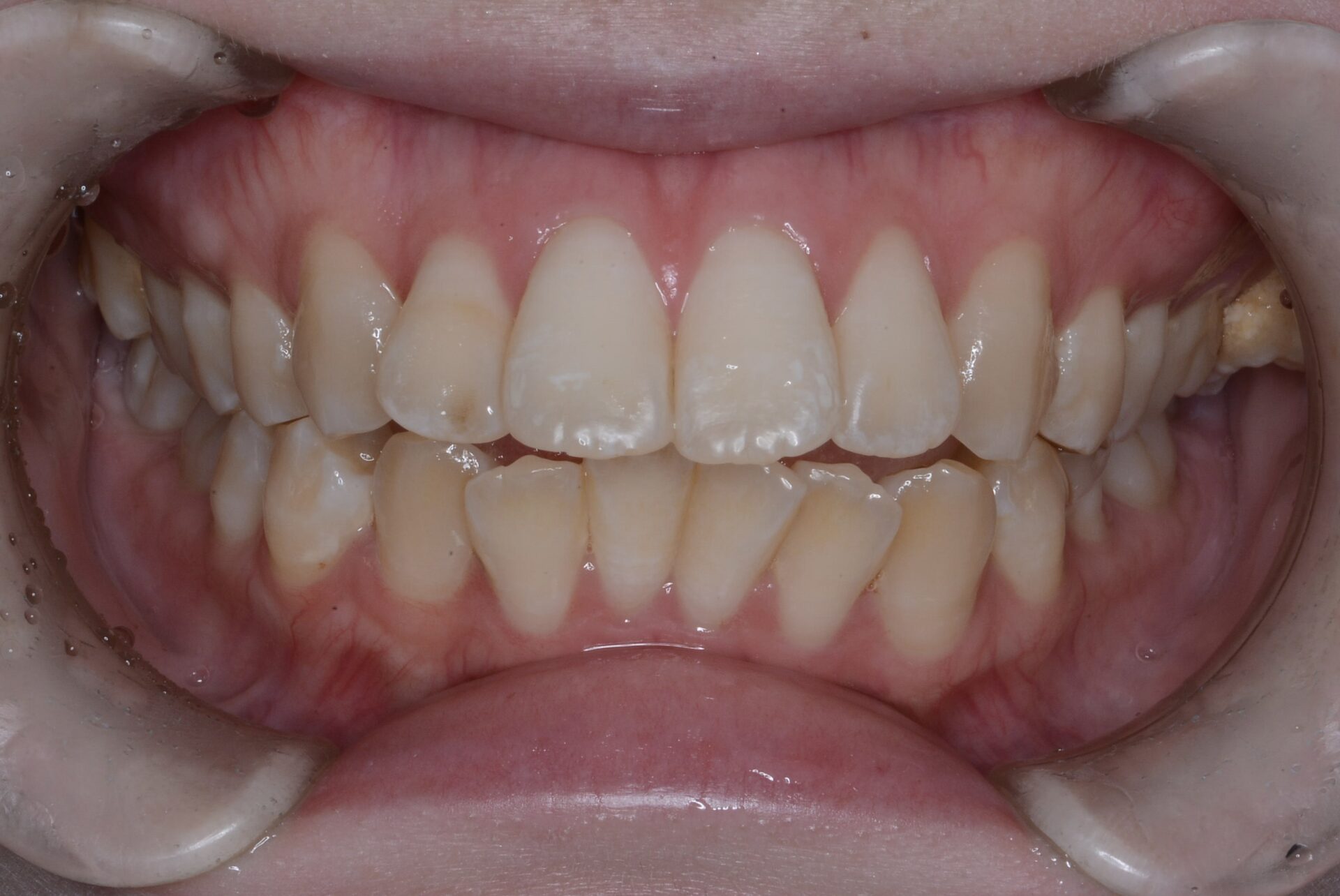
before
-
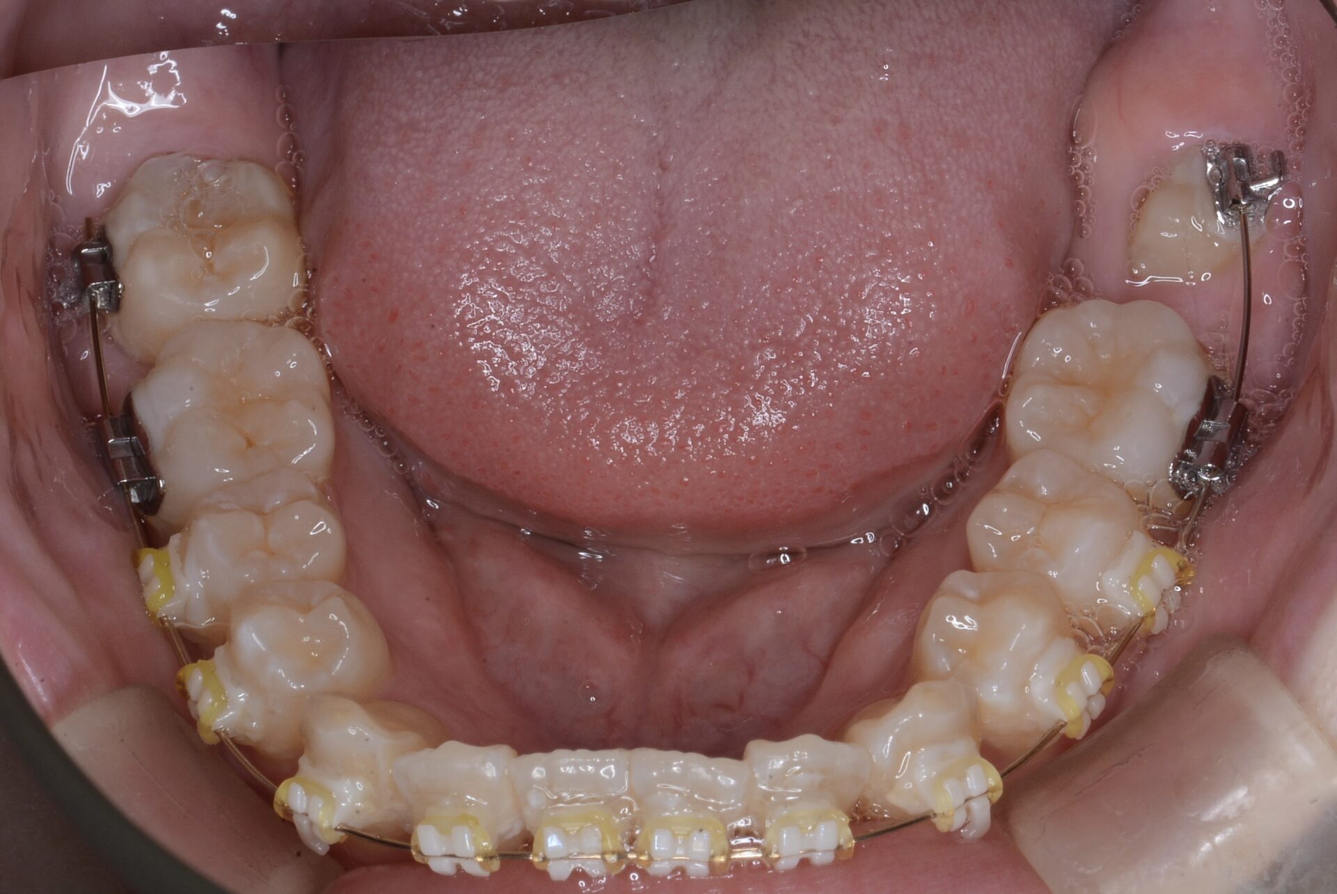
after
-
-
症例情報
主訴 歯並びを治したい 治療方法 全顎的矯正治療 年代 20代 性別 女性 費用 矯正治療費 ¥990.000 治療期間 矯正期間33ヶ月 来院回数 月1回 メリット 矯正治療により奥歯で均等に噛めるようになる。 リスク 埋伏している親知らずを利用するため矯正治療の期間が長くなってしまう。 -
治療詳細

初診時
奥歯だけが点で当たっていて、前歯が噛んでいない。
左側上顎第2大臼歯が随分と外側に生えている。そのため下顎とすれ違ってしまっていた。

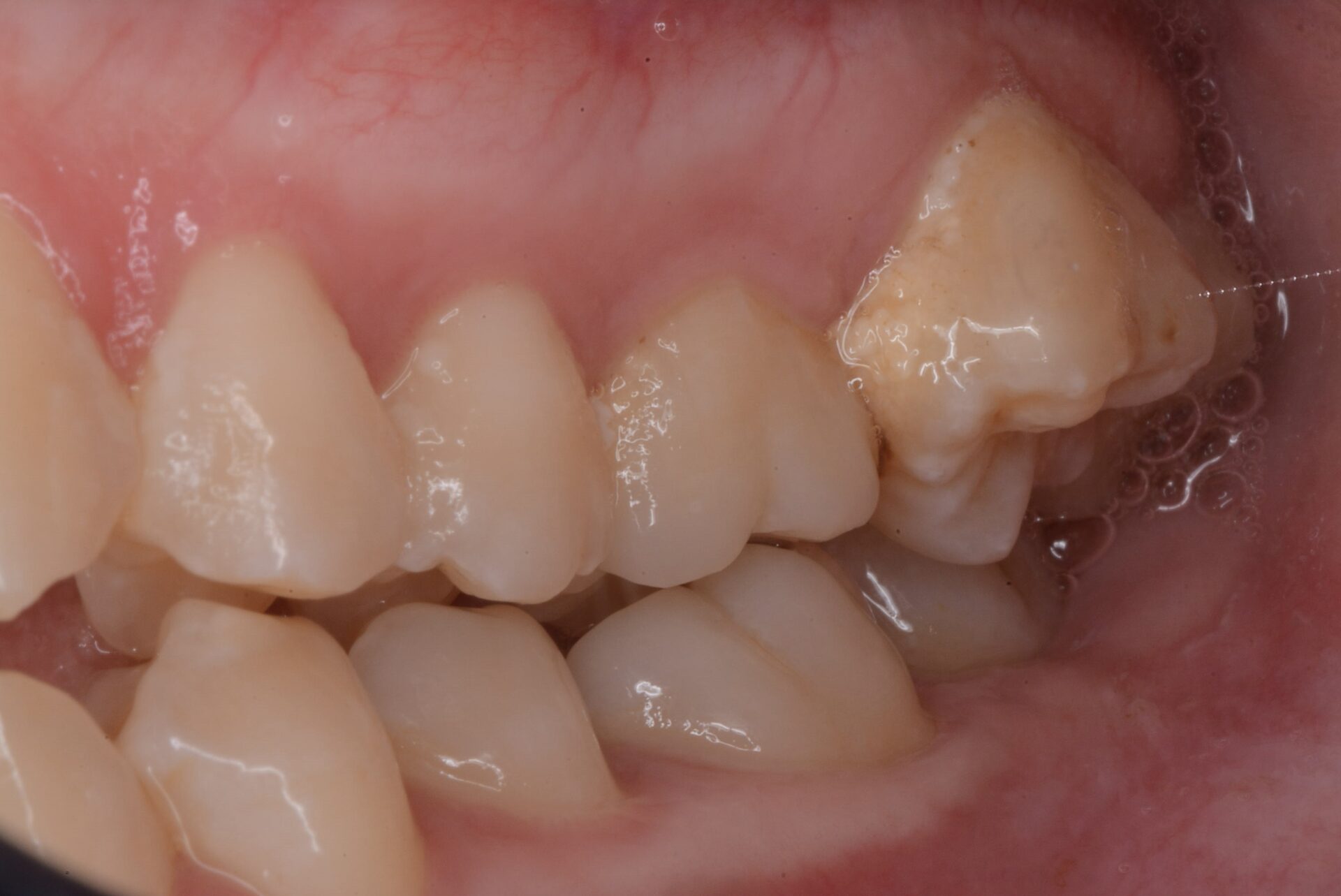
口蓋に痛みはないが大きな腫れがある。その腫れのため大臼歯は外側に生えてきてその後も少しずつ動かされてしまったと思われる。矯正治療を進めても臼歯部はほとんど内側に動いてこない。生検により多形腺腫と診断される。

多形腺腫摘出後
摘出部位の傷が治ってから矯正治療を再開すると、速やかに大臼歯部が内側に移動してきた。
下顎臼歯部を遠心に動かしたいが、埋伏智歯があるため動かせない。また小臼歯抜歯によりスペースを確保できたとしても開口であるため下顎の歯は並んでも上顎前歯部に下顎前歯部が届かなくなる可能性が高い。

下顎左側第2大臼歯が虫歯になっていたこと、また前歯を並べるためには臼歯部の遠心移動が必要であることを考慮し、第2大臼歯を抜歯して埋伏している親知らずを咬合参加させるように矯正治療で動かしていく。

少しずつ少しずつ。

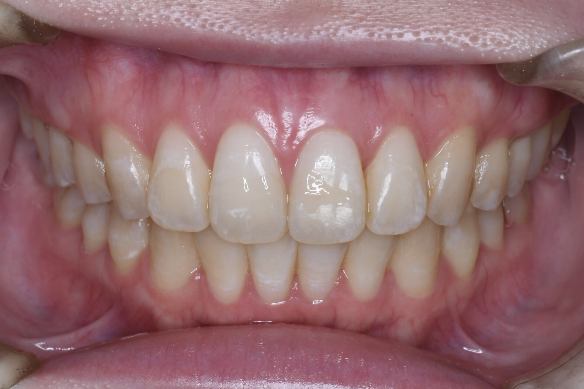
矯正治療終了時

矯正治療スタート

矯正治療終了時
-
当院からのコメント
矯正治療に関するページはこちら
〒474-0038 愛知県大府市森岡町1−187
TEL:0562-44-2111- 【診療時間】
9:10~13:20(最終受付12:50)/ 14:40~18:20(最終受付17:40)
土曜 9:00~14:00(最終受付13:30)
- 【診療時間】

