blog
矯正治療は見ためはもちろんだが機能的にど...
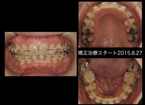
case.矯正治療は見ためはもちろんだが機能的にどうかが大事。
矯正専門医にて上下左右第一小臼歯抜歯による全顎的矯正治療を行う。



抜歯したスペースを埋めるために犬歯が内側に入りすぎて、下顎の左右の動きを制限してしまっていたと思われる。

矯正開始2ヶ月。犬歯の角度が改善され、まだぎこちないが下顎が左右に動かせるようになった。
矯正治療終了後。前歯部の咬合も良好。犬歯誘導も確立できている。夜間のマウスピースは必須である。


〒474-0038 愛知県大府市森岡町1−187
TEL:0562-44-2111
【診療時間】
9:10~13:20(最終受付12:50)/ 14:40~18:10(最終受付17:40)
土曜 9:00~14:00(最終受付13:30)

