歯列矯正
成長期の開口case
-
-
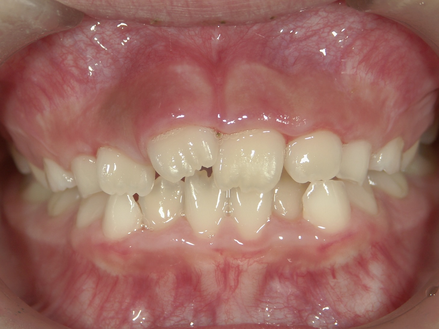
before
-
after
-
-
症例情報
主訴 歯並びを治したい 治療方法 全顎的矯正治療 年代 10代 性別 女性 費用 矯正治療費 ¥990.000 治療期間 26ヶ月 来院回数 月1回 メリット 矯正治療により見た目が良くなるのはもちろんだが、奥歯への過度な負担を和らげることができ、歯のクラックを防ぐことができ、虫歯予防もできる。 リスク 成長期の開口caseであるので治療期間は長くなってしまう。 -
治療詳細

2016年 9歳
前歯が重なって生えてきている。この時点で歯が並ぶスペースが少ないことは十分予想できる。
2016年 9歳 (上顎)
上顎口蓋の幅は小さくない。
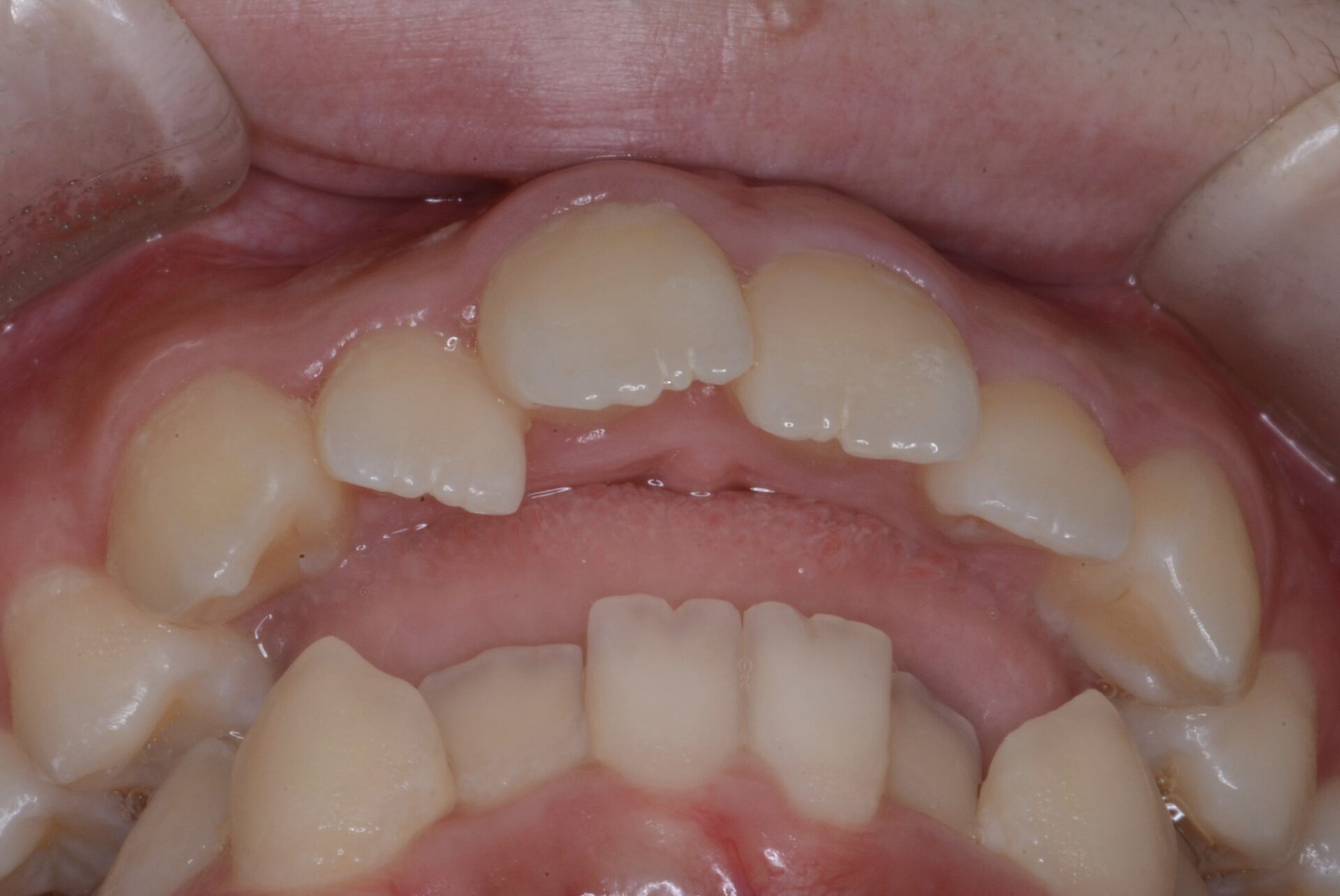
2023年 16歳 下方から見ると前歯は全くかめていない。

親知らずが上下左右存在する。下顎の前下方への成長を妨げている原因の一つと診断。下顎の親知らずを抜歯してから矯正をスタートする。

矯正治療スタート

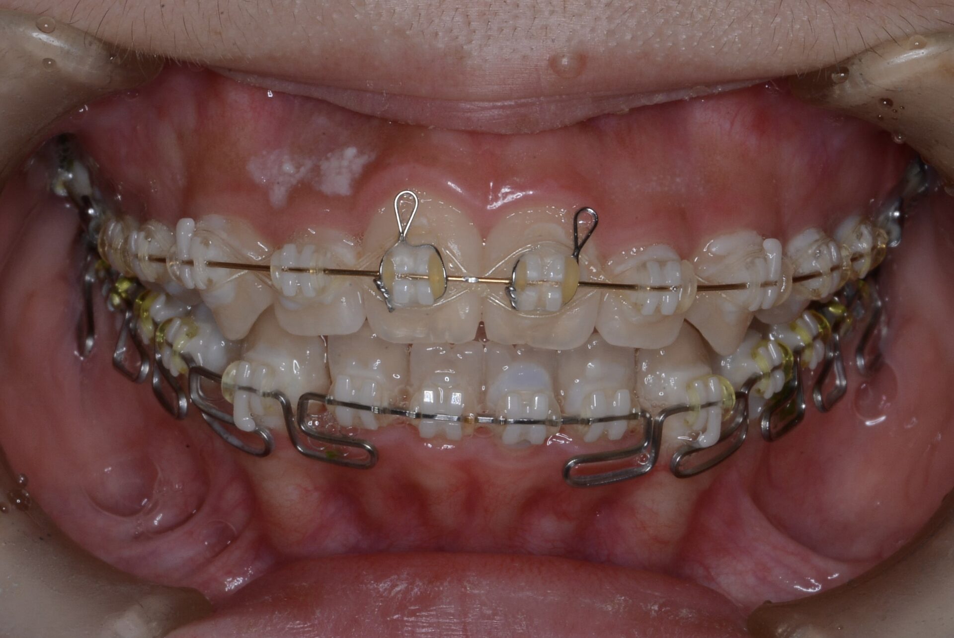
矯正治療中
下顎臼歯部の圧下をするためのワイヤーをセットするもなかなか前歯は噛んでこない。
上顎第2大臼歯を抜歯して、その奥の親知らずを利用。下顎臼歯部は親知らずを抜いたスペースを利用して圧下。

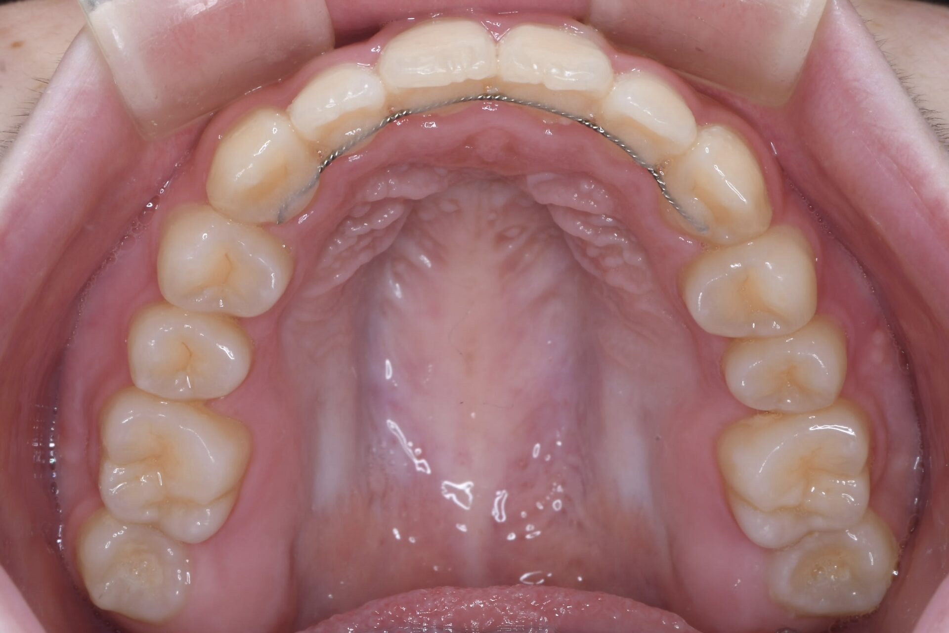
メインテナンス時(上顎)

メインテナンス時(下顎)

メインテナンス時(正面)
-
当院からのコメント
矯正をスタートするタイミングをよく聞かれるがあまりにも早くから(10歳以下から10代前半)スタートしてしまうことに疑問を感じることが多い。元々持っている歯がいい位置に並ぶ能力を少しずつ助けてあげることが矯正治療と考えているが、あまりにも歯科医師が自らの知識やAIによる診断を過信して力ずくで歯を並べているcaseをよく見かける。力ずくであるため時間の経過とともに歯並びは少しずつずれてしまい、元の木阿弥となっている。当院では身長が伸び切った頃を一つの基準としている。長く矯正期間がかかってしまうと虫歯のリスクも上がるだけでなく、16歳前後で奥歯の歯茎の中で静かに悪さをしてくる親知らずにも対応できるからである
矯正治療に関するページはこちら
〒474-0038 愛知県大府市森岡町1−187
TEL:0562-44-2111- 【診療時間】
9:10~13:20(最終受付12:50)/ 14:40~18:20(最終受付17:40)
土曜 9:00~14:00(最終受付13:30)
- 【診療時間】
〒474-0038 愛知県大府市森岡町1−187
TEL:0562-44-2111
【診療時間】
9:10~13:20(最終受付12:50)/ 14:40~18:10(最終受付17:40)
土曜 9:00~14:00(最終受付13:30)

