矯正治療と歯肉移植は常に一緒に考える⑤
case.矯正治療と歯肉移植は常に一緒に考える⑤
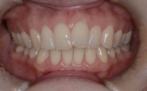
歯並びを治したいということで来院。

前歯が咬んでいないため臼歯部の負担が大きくマイクロクラックにより治療を繰り返している。
また前歯が前方にあるため歯茎が薄い。

全顎的矯正治療を行い。その後歯肉移植を予定する。

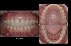
矯正治療終了時

矯正治療後、歯肉移植前

歯肉移植後
大府で「歯科」「歯医者」をお探しなら、まずは当院へご相談ください。精密な診断とマイクロスコープを活用した丁寧な治療で、あなたに合う方法をご提案します。詳しくは各ページ(矯正治療/インプラント/マイクロスコープ/歯周病治療/衛生士による予防プログラム/アクセス)もご覧ください。オンライン予約も可能です。「大府 歯科」「大府 歯医者」で迷ったら、こころ歯科クリニックへ。
矯正治療に関するページはこちら
歯周病に関するページはこちら
マイクロスコープに関するページはこちら
執筆者情報
略歴
徳島大学歯学部卒。2007年に愛知県大府市でこころ歯科クリニックを開設。マイクロスコープと歯科用CTを軸に臨床を行い、国内外で顕微鏡歯科の講演・症例発表を継続。2021年には、 「第6回Academy of Surgical Microscopic Clinical Dentistry」(臨床応用顕微鏡歯科学会)で最優秀賞を受賞。
詳しい経歴は、「スタッフ紹介」をご覧ください。( → スタッフ紹介 )
専門・監修分野
マイクロスコープを用いた精密・低侵襲治療、根管・歯周治療、インプラント、オーダーメイド精密義歯、咬合・矯正の診断サポート、歯科用CTによる画像診断、予防メインテナンス。記事ではこれらの基礎情報とセルフケアを中心に執筆します。
メッセージ
「痛みを抑え、削りすぎない、諦めない」を基本に、検査と説明を丁寧に行い、写真で“見える化”。患者さんと相談しながら選択肢を提示し、根拠に基づく安全性と継続ケアを重視します。
※診断・治療の可否は、口腔内の状態により異なるため、受診のうえご相談ください。

〒474-0038 愛知県大府市森岡町1−187
TEL:0562-44-2111
【診療時間】
9:10~13:20(最終受付12:50)/ 14:40~18:10(最終受付17:40)
土曜 9:00~14:00(最終受付13:30)