歯列矯正歯周病治療審美治療
アンキローシスをともなう全顎的矯正case
-
-
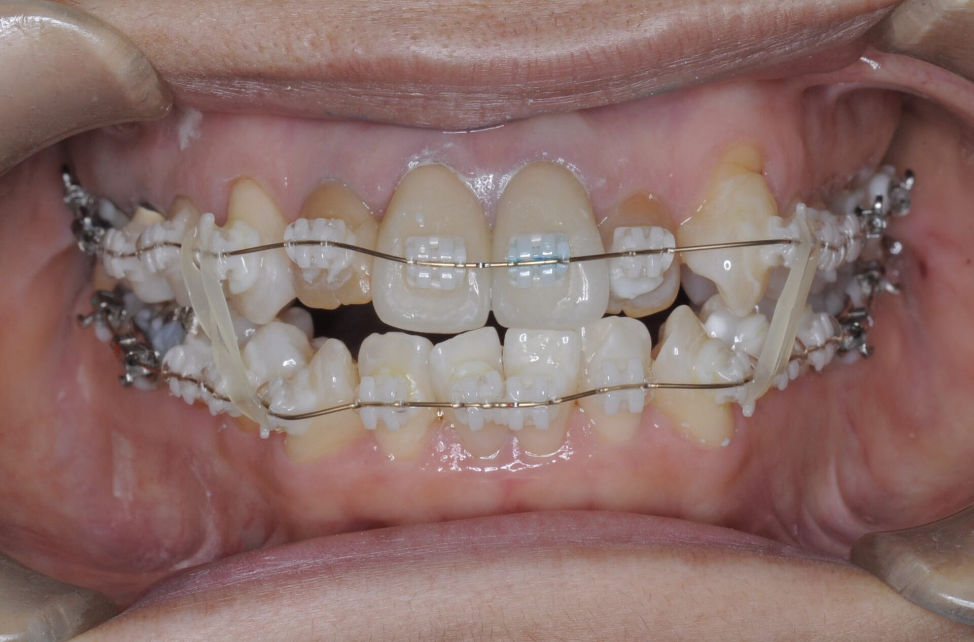
before
-
after
-
-
症例情報
主訴 前歯の色が気になる。歯並びを治したい。 治療方法 全顎的矯正治療
ジルコニアによる修復年代 50代 性別 女性 費用 矯正治療費 ¥990.000
ジルコニア冠 ¥165.000
ジルコニアインレー ¥93.500治療期間 矯正治療期間 16ヶ月
来院回数 矯正期間 1回/月 メリット 矯正治療を行うことにより奥歯の負担を和らげ、マイクロクラックを防止できる。 リスク すでに神経の処置がされている歯があるため夜間のマウスピースは必須である。 -
治療詳細

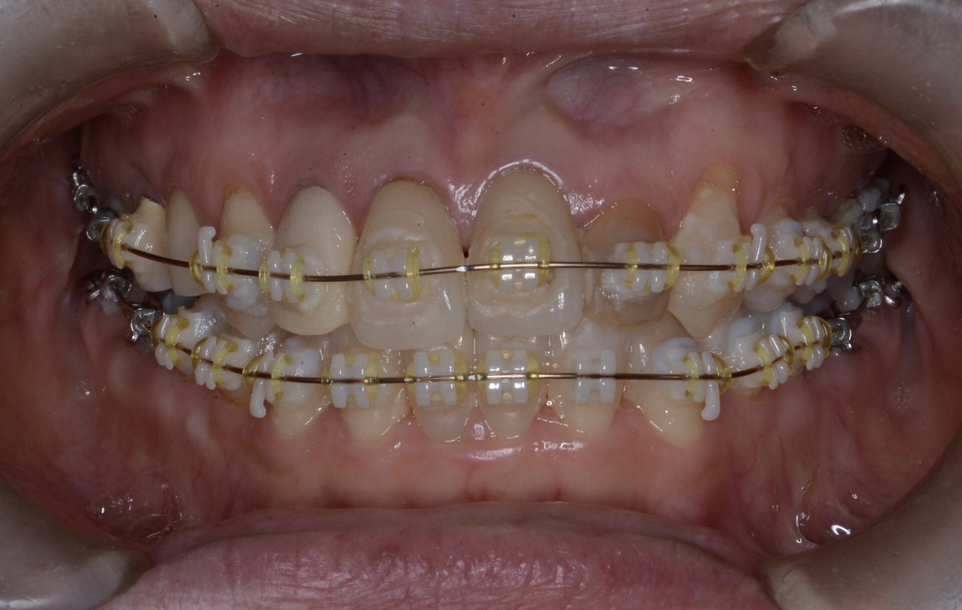
矯正治療スタート(正面)

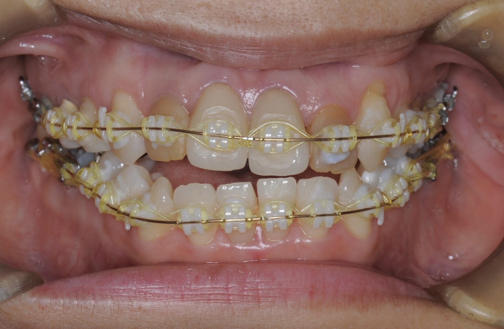
矯正中
左側は噛んできたが、右側は逆の動き、つまり右側中切歯が上に上がっていってしまっている。側切歯のアンキローシス(骨癒着)を疑う。
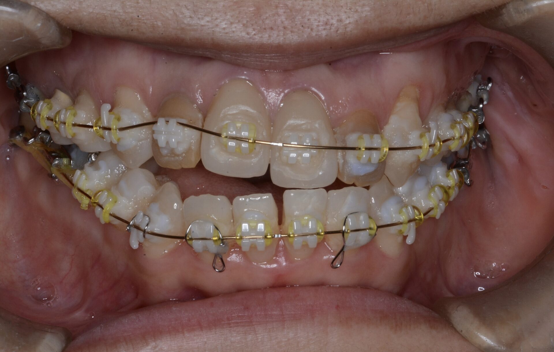
2週間ほど側切歯の上側にワイヤーを通し周りの歯の動きを見ていると、通常であれば側切歯が下がるはずが側切歯はそのままの位置で、中切歯がより上に動いていた。よって側切歯のアンキローシストと診断する。

側切歯のブラケットを外し力をかけないようにしていると、中切歯は周りの歯に合わせて下に降りてきた。

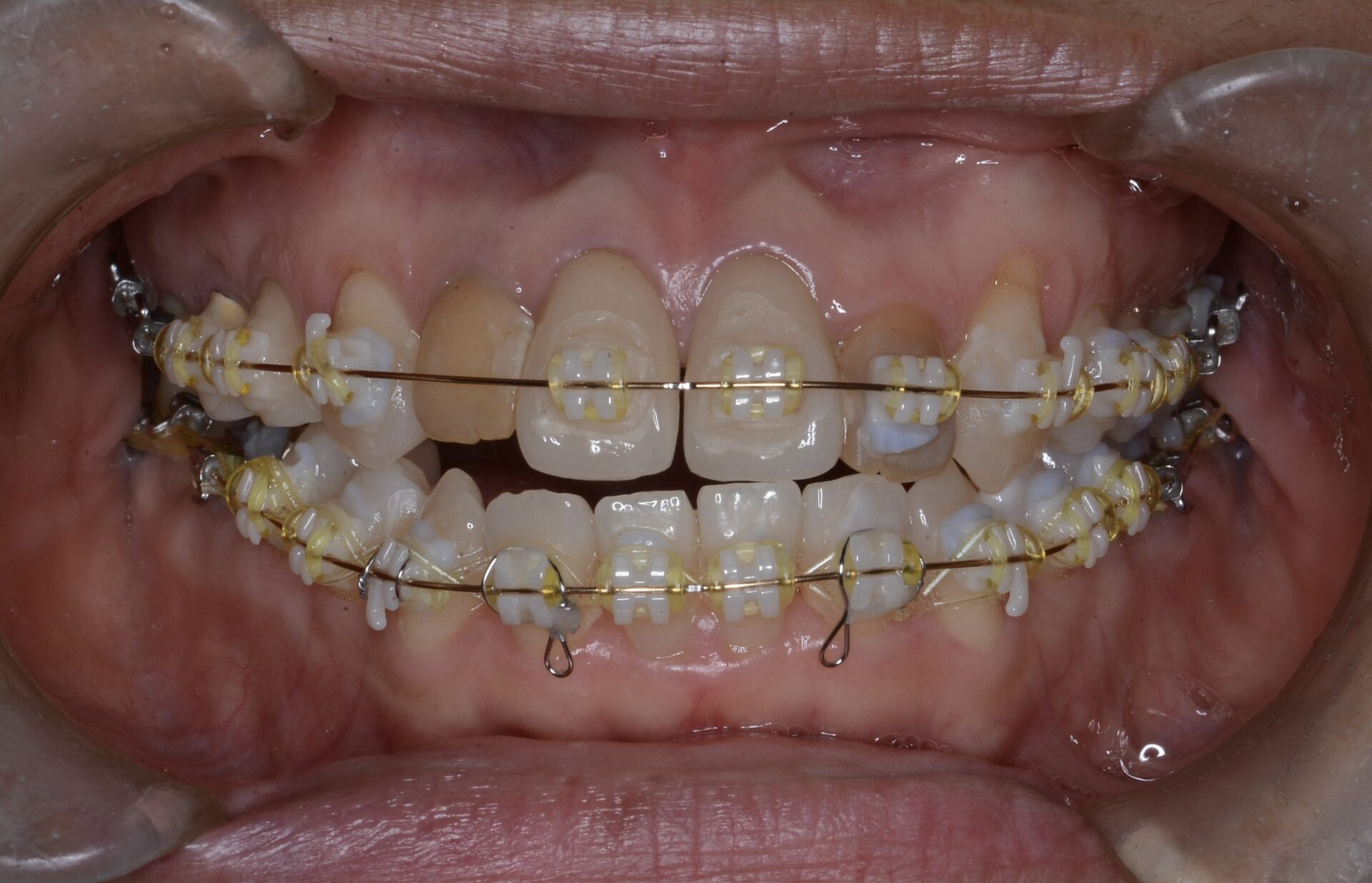
アンキローシスを起こしている側切歯を理想的な形の仮歯に置き換え、それを周りの歯を動かしより下顎と咬合させるためのアンカーとして利用した。

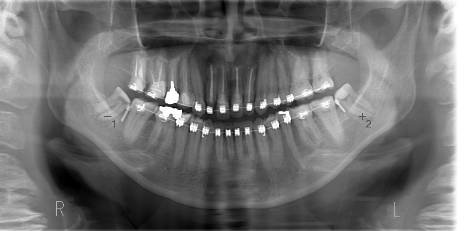
オープンバイト(開口)になってしまった原因として下顎の親知らずが考えられるため、親知らずを抜歯してそのスペースに対して下顎大臼歯を圧下させたいが、親知らずが下歯槽管神経に近接しているため、すぐに抜歯することができず、親知らずの歯冠を削って少しずつ上に上がってくるのを待つ。

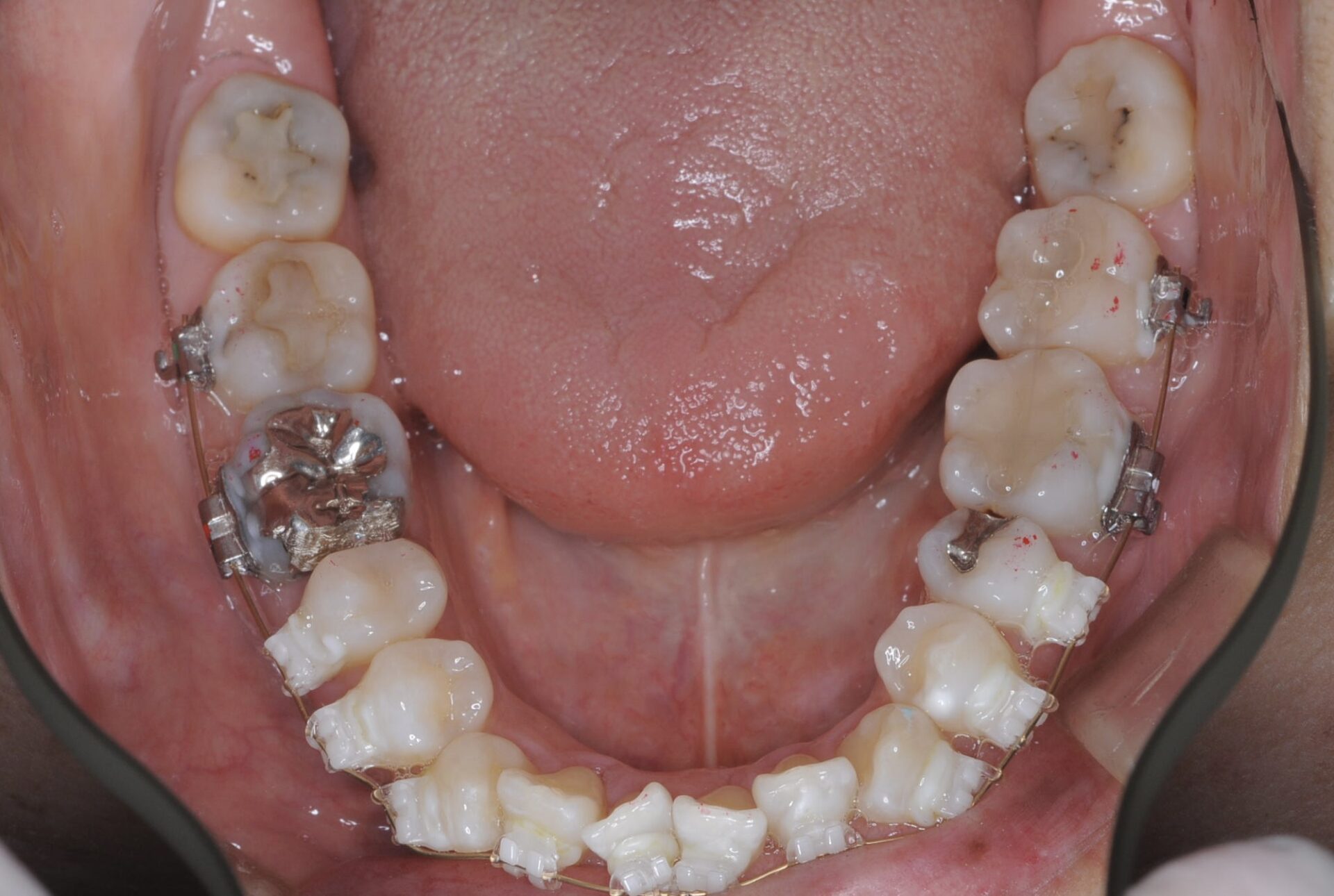
矯正治療スタート時(下顎)

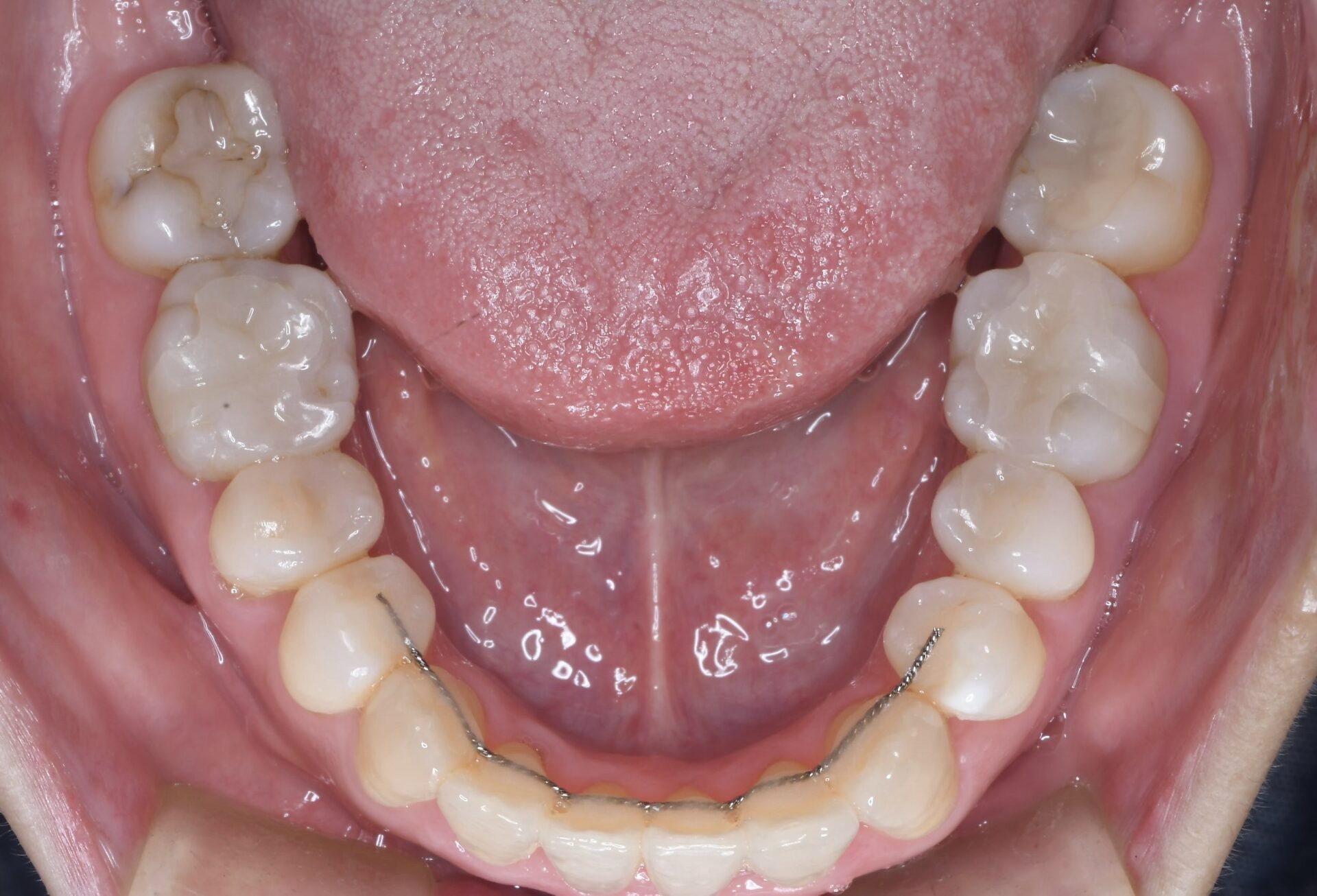
メインテナンス時(下顎)
CT画像より親知らずが下歯槽管神経から十分離れたことを確認して抜歯を行う。
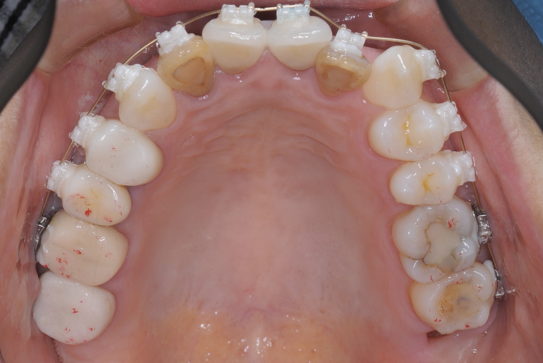
矯正治療スタート時(上顎)

メインテナンス時(上顎)
-
当院からのコメント
矯正治療中に意図した方向に歯が動かなかったり、時間がかかったりした場合に、あるどこかの歯が骨と癒着して全体の歯の動きを妨げていることがある。レントゲンで最初から見極めるのは私では困難で、ある程度矯正治療が進んできて初めてなんかおかしいと気がつくことが多い。。予定していたより時間がかかってしまい、患者さんにも負担をかけてしまった。歯の治療は患者さんの忍耐の上に成り立っていることを改めて感じた。今後ともメインテナンスでケアしていきますのでどうぞよろしくお願いします。
矯正治療に関するページはこちら
審美治療に関するページはこちら
〒474-0038 愛知県大府市森岡町1−187
TEL:0562-44-2111- 【診療時間】
9:10~13:20(最終受付12:50)/ 14:40~18:20(最終受付17:40)
土曜 9:00~14:00(最終受付13:30)
- 【診療時間】

