歯列矯正
水平埋伏歯の影響による開口case
-
-
before
-
after
-
-
症例情報
主訴 歯並びが変わってきたから再矯正したい 治療方法 全顎的矯正治療 年代 20代 性別 女性 費用 ¥999.000 治療期間 15ヶ月 来院回数 1回/月 メリット 矯正治療により奥歯への過度な負担が和らぐ。歯磨きがしやすくなる。 リスク 矯正治療中は虫歯のリスクが高くなる。 -
治療詳細

初診時
13歳 転んで前歯を打ってしまった。歯並びも気になる。
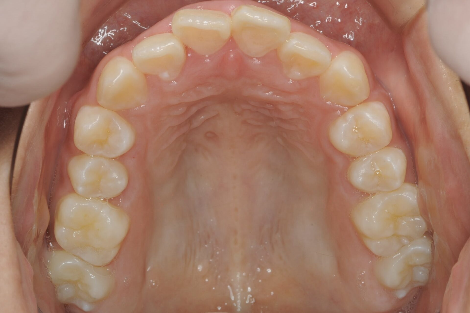
初診時(上顎)

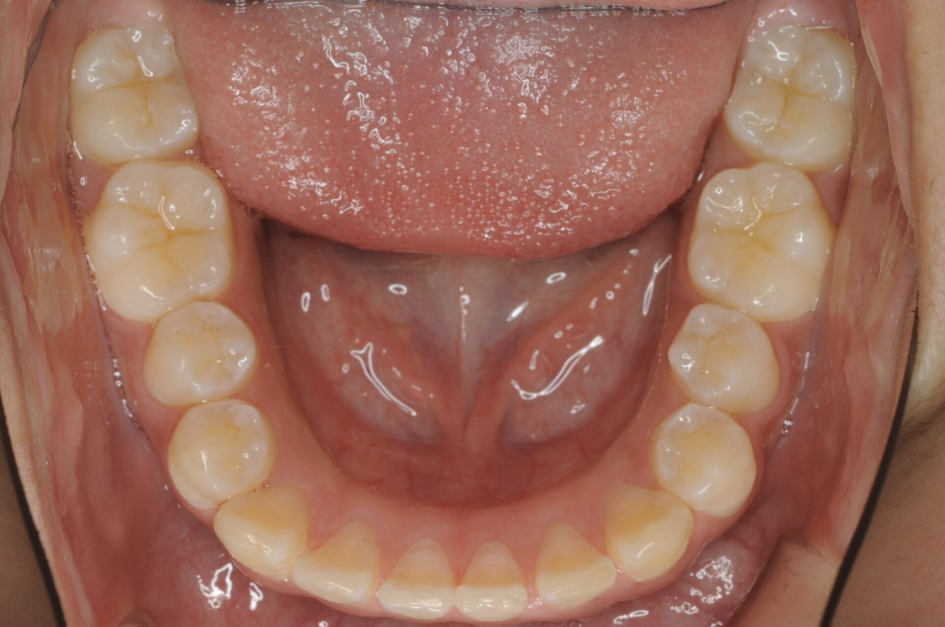
初診時(下顎)

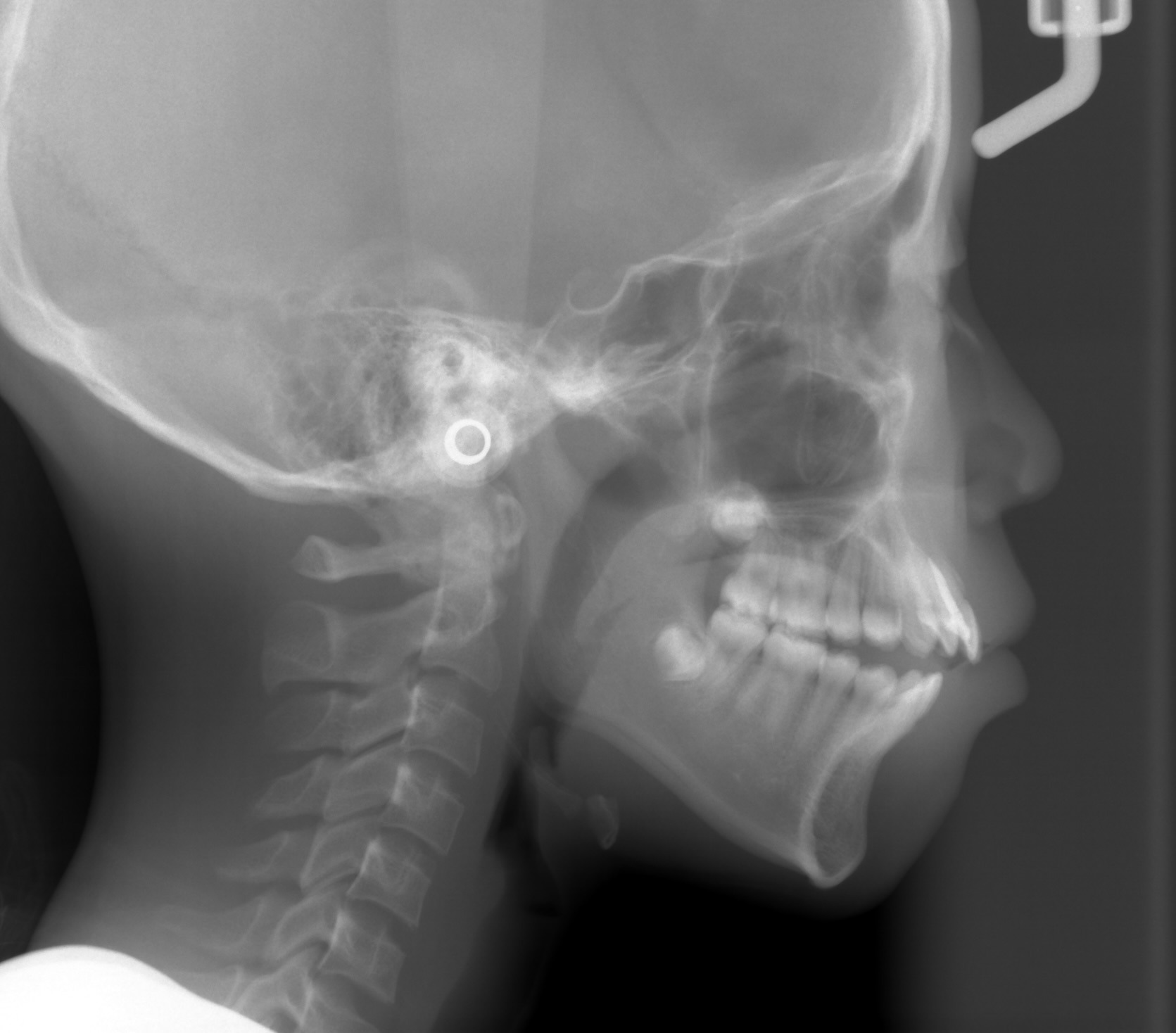
セファロレントゲンにより親知らずの存在を確認するも13歳でありすぐに抜歯することは不可能と判断。

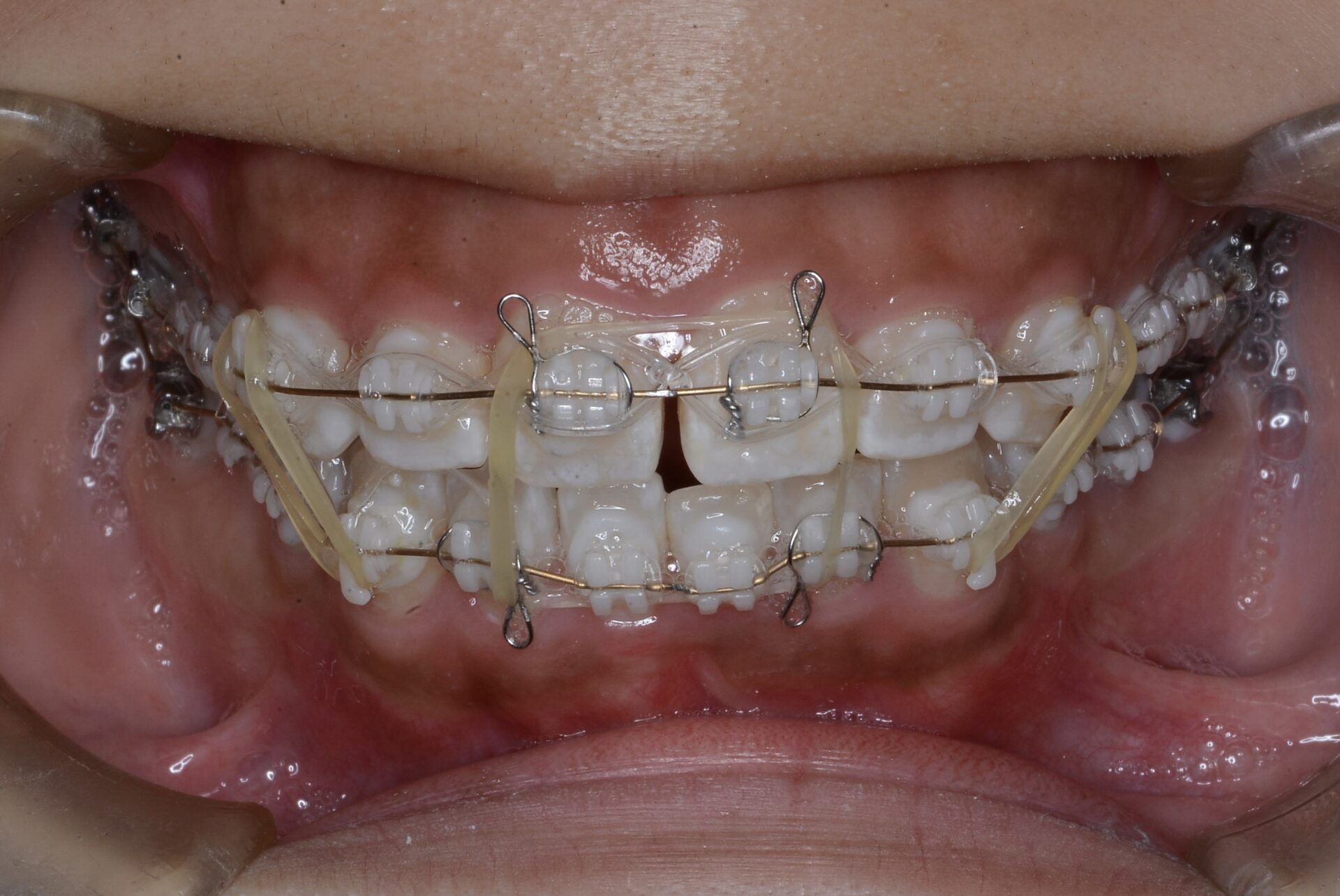
矯正治療スタート(22歳)
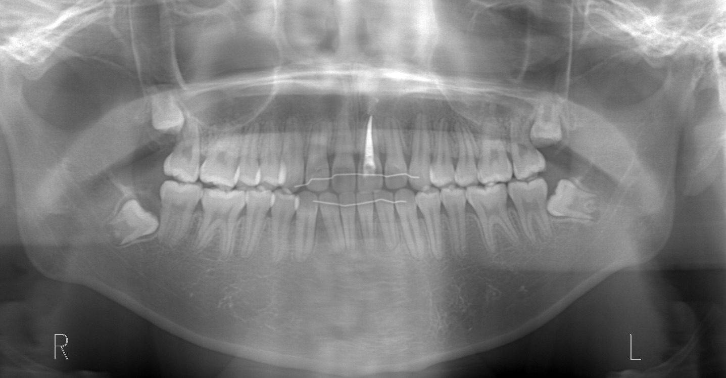
親知らずが抜ける位置まで移動してきたため、矯正治療しながら親知らずの抜歯も行う。
矯正治療スタート時

親知らず抜歯後
親知らずに押され臼歯部での噛み合わせが高くなってしまい、前歯が噛まなくなってしまっている。
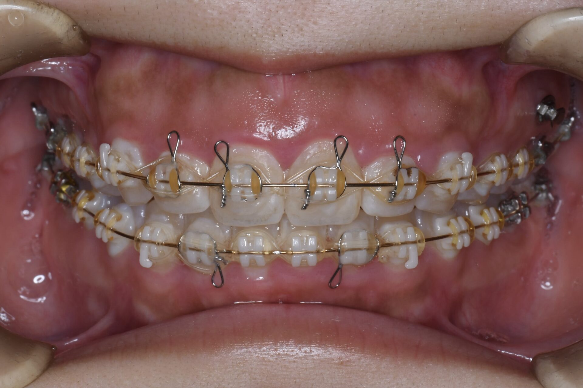
親知らずを抜歯してそのスペースを利用して臼歯部を圧下しつつ、前歯の噛み合わせを近づけていく。

矯正治療終了時
-
当院からのコメント
小児矯正をおこなう歯科医院が増えている。歯並びを早くから治さないととんでもないことになってしまうと心配になってしまうご家族と、子供のうちから早くから矯正しておけば大丈夫だと説明する歯科医院側の考えが一致しやすいのだろう。当院では受け口ではない限り早期の矯正治療はなるべく様子を見ながら時期を見て行うようにしている。小さい頃から矯正してしまうと装置を長期でつけることとなり虫歯のリスクを大きくしてしまうだけではなく、親知らずの存在によりせっかく良くなった歯並びも少しずつ変化してしまい乱れてしまっている方が非常に多いことを経験する。また24歳ぐらいまでは顎の成長や歯の位置は変化することも多くの論文で証明されている。つまり大人になってからも噛み合わせの変化を観察する必要があるにも関わらず小児期のみの矯正治療ではあまりにも無責任ではないのか。自戒を込めて矯正する必要があるかどうか、今だけの状態で判断していないか、今本当にするべきかどうか、様子を見ながらでも遅くはないのではないか、結論を焦らずどうか慎重な決断を歯科医師側も患者さん側も。
矯正治療に関するページはこちら
〒474-0038 愛知県大府市森岡町1−187
TEL:0562-44-2111- 【診療時間】
9:10~13:20(最終受付12:50)/ 14:40~18:20(最終受付17:40)
土曜 9:00~14:00(最終受付13:30)
- 【診療時間】

